Nội tiết - Chuyển hóa
Cơ xương khớp – Cột sống
Tim mạch
Tiêu hóa – Gan mật
Thần kinh – sọ não
Hô hấp
Tiết niệu – sinh dục
Ung bướu
Huyết học
Dinh dưỡng
Chấn thương chỉnh hình
Sản phụ khoa
Hỗ trợ sinh sản
Nhi khoa
Tai mũi họng
Răng hàm mặt
Mắt
Da liễu
Y học cổ truyền
Phục hồi chức năng
Thực quản - Dạ dày
Đường ruột
Trực tràng - Hậu môn
Gan - Mật - Tủy
Truyền nhiễm
Lao
Bệnh Giời leo, hay còn gọi là zona, là một loại bệnh nhiễm trùng do virus Varicella-zoster (VZV) gây ra.
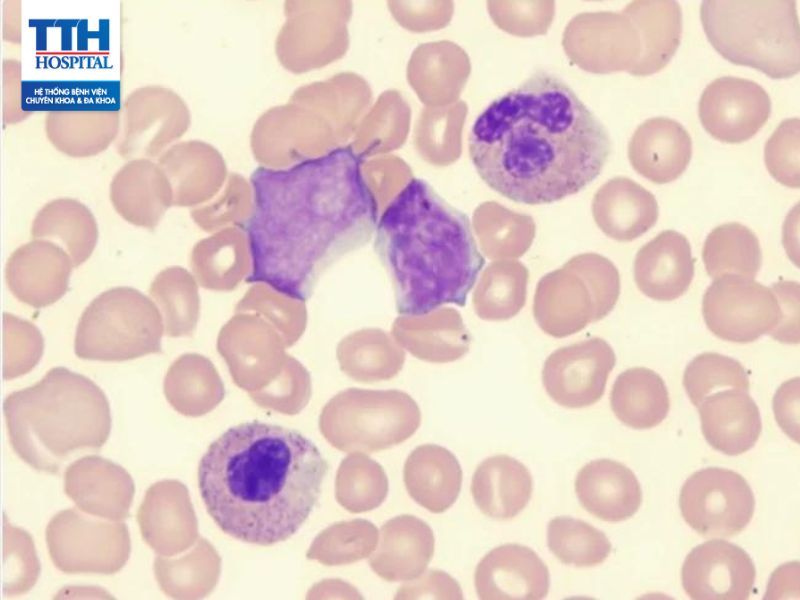
Trước đây hội chứng rối loạn sinh tủy được xem là một tình trạng tiền ung thư
Sau Tết, việc kiểm tra sức khỏe không chỉ giúp đánh giá tổng thể tình trạng cơ thể mà còn sớm phát hiện các dấu hiệu bệnh lý tiềm ẩn.
Ngày 22/02/2025, TTH Group đã long trọng tổ chức Lễ khai trương Bệnh viện YHCT Nguyên Phúc
Răng khôn thường xuất hiện ở độ tuổi trưởng thành, có thể gây ra nhiều vấn đề về sức khỏe răng miệng như đau nhức, viêm lợi hoặc mọc lệch.
Bệnh sởi là một trong những bệnh truyền nhiễm nguy hiểm nhất ở trẻ em, gây ra bởi virus sởi. Bệnh có tốc độ lây lan nhanh và có thể dẫn đến các biến chứng nghiêm trọng nếu không được phát hiện và điều trị kịp thời.
Mùa hè là thời điểm nhiều bệnh da liễu bùng phát do thời tiết nóng ẩm, ánh nắng mạnh và hoạt động ngoài trời nhiều.
Mùa hè là thời điểm lý tưởng cho các hoạt động ngoài trời, du lịch và vui chơi, nhưng cũng là giai đoạn dễ mắc cảm cúm do thời tiết nóng bức và thay đổi nhiệt độ đột ngột.
Bệnh sởi từng được kiểm soát hiệu quả nhờ chương trình tiêm chủng mở rộng. Tuy nhiên, những năm gần đây, nhiều quốc gia – trong đó có Việt Nam – lại ghi nhận sự gia tăng trở lại các ca mắc sởi, thậm chí có nguy cơ bùng phát dịch
Rôm sảy là tình trạng da liễu thường gặp ở trẻ nhỏ, đặc biệt trong những ngày nắng nóng hoặc khi thời tiết oi bức. Tuy không nguy hiểm đến tính mạng nhưng nếu không được xử lý đúng cách
Đột quỵ (tai biến mạch máu não) là một tình trạng cấp cứu y tế nghiêm trọng, có thể gây tử vong hoặc để lại di chứng nặng nề nếu không được xử lý kịp thời.
Bài viết dưới đây sẽ điểm danh 10 điều cần tránh khi COVID-19 đang quay trở lại. Đây chính là bí quyết giúp bạn giảm thiểu nguy cơ lây nhiễm và ứng phó an toàn với dịch bệnh.
Hội chứng buồng trứng đa nang (PCOS – Polycystic Ovary Syndrome) là một rối loạn nội tiết thường gặp ở phụ nữ trong độ tuổi sinh sản
Bệnh đái tháo đường (hay còn gọi là tiểu đường) đang ngày càng phổ biến trên toàn cầu và tại Việt Nam, với tỷ lệ người mắc có xu hướng gia tăng nhanh chóng, đặc biệt ở nhóm tuổi trẻ hơn.
Canxi là một khoáng chất thiết yếu giúp duy trì hoạt động bình thường của các hệ cơ, thần kinh và xương khớp.
Trong quá khứ, bệnh suy thận thường được xem là tình trạng sức khỏe phổ biến ở người cao tuổi. Tuy nhiên, trong những năm gần đây, độ tuổi mắc bệnh này đang ngày càng trẻ hóa.
Vàng da là hiện tượng thường gặp nhất trong những ngày đầu đời của trẻ. Tuy đa số trường hợp chỉ là biến đổi sinh lý vô hại và sẽ tự hết, vàng da không phải lúc nào cũng “an toàn”.
Viêm tuyến giáp là một trong những rối loạn thường gặp ở hệ nội tiết, ảnh hưởng đến khả năng sản xuất hormone tuyến giáp
Viêm ruột thừa cấp là một tình trạng cấp cứu ngoại khoa phổ biến, xảy ra khi ruột thừa – một đoạn ruột nhỏ hình ngón tay nằm ở góc phải bụng dưới – bị viêm nhiễm do tắc nghẽn.
Một trong những vấn đề thường gặp nhưng lại dễ bị bỏ qua chính là tật dính thắng môi trên. Vậy dính thắng môi trên là gì? Có nguy hiểm không và điều trị như thế nào? Bài viết dưới đây sẽ giúp bố mẹ hiểu rõ hơn về tình trạng này.
Tăng tiết mồ hôi là tình trạng khiến nhiều người cảm thấy phiền toái trong sinh hoạt hàng ngày và mất tự tin trong giao tiếp.
Bệnh thận mạn tính là một trong những vấn đề sức khỏe nghiêm trọng nhưng lại diễn tiến âm thầm, khó phát hiện sớm.
6 bệnh tiêu hóa thường gặp là các bệnh lý đường ruột và dạ dày bao gồm Táo bón, trào ngược dạ dày, viêm loét, suy giảm chức năng gan mật, kích thích ruột, ung thư trực tràng đều có thể âm thầm ảnh hưởng đến sức khỏe nếu không được phát hiện và điều trị kịp thời.
Tình trạng tắc ruột ở người già có thể xảy ra do nhiều nguyên nhân khác nhau như: chế độ ăn uống, tuổi tác, di chứng hậu phẫu,...
Huyết áp là một trong những chỉ số quan trọng phản ánh tình trạng sức khỏe tim mạch. Ở người cao tuổi, huyết áp thường có nhiều biến động do quá trình lão hóa, bệnh lý nền và lối sống.
Đau dây thần kinh tọa là một trong những bệnh lý xương khớp phổ biến, ảnh hưởng trực tiếp đến khả năng vận động và chất lượng cuộc sống của người bệnh.
Đôi mắt là “cửa sổ tâm hồn”, đặc biệt quan trọng trong quá trình học tập và phát triển của trẻ nhỏ. Tuy nhiên, nhiều phụ huynh thường chỉ chú ý đến chế độ dinh dưỡng hay sự phát triển thể chất mà ít quan tâm đến sức khỏe mắt của con.
Ở người cao tuổi, bệnh mỡ máu cao không chỉ gây mệt mỏi mà còn tiềm ẩn nhiều biến chứng nguy hiểm như nhồi máu cơ tim, đột quỵ hay xơ vữa động mạch.
Khám phụ khoa định kỳ là một bước quan trọng để chăm sóc và bảo vệ sức khỏe sinh sản của phụ nữ, dù bạn đã kết hôn hay chưa.
Tiểu đường thai kỳ là tình trạng rối loạn dung nạp glucose xảy ra trong quá trình mang thai, thường xuất hiện ở tuần thai thứ 24 – 28. Đây là một vấn đề sức khỏe mà mẹ bầu không nên xem nhẹ, bởi nếu không được phát hiện và kiểm soát kịp thời, bệnh có thể ảnh hưởng đến cả mẹ và em bé.
Bệnh phổi tắc nghẽn mãn tính (Chronic Obstructive Pulmonary Disease – COPD) là một trong những bệnh lý hô hấp mạn tính phổ biến nhất hiện nay. Bệnh đặc trưng bởi tình trạng tắc nghẽn luồng khí thở ra không hồi phục hoàn toàn, tiến triển nặng dần theo thời gian.
Niềng răng không đơn thuần là việc gắn mắc cài và chờ kết quả – đây là một quá trình điều trị lâu dài, đòi hỏi sự theo dõi sát sao từ bác sĩ và sự hợp tác nghiêm túc của người bệnh.
Loãng xương là một trong những bệnh lý xương khớp phổ biến nhất hiện nay, đặc biệt là ở người trung niên và cao tuổi. Bệnh tiến triển âm thầm, không có biểu hiện rõ ràng trong giai đoạn đầu, nhưng hậu quả lại rất nghiêm trọng nếu không được phát hiện và điều trị kịp thời.
Thừa cân, béo phì không chỉ làm tăng nguy cơ mắc các bệnh lý về tim mạch, huyết áp, tiểu đường mà còn là “gánh nặng” trực tiếp lên hệ cơ xương khớp.
Trọng lượng cơ thể dư thừa khiến các khớp – đặc biệt là khớp gối, hông, cột sống và bàn chân – phải chịu tải trọng lớn hơn bình thường
Trong những năm gần đây, đặc biệt là vào mùa lạnh, số ca trẻ em mắc virus RSV (Respiratory Syncytial Virus – virus hợp bào hô hấp) đang có xu hướng gia tăng nhanh chóng tại nhiều địa phương. RSV không chỉ gây ra những triệu chứng giống cảm lạnh thông thường mà còn có thể dẫn đến viêm phổi, viêm tiểu phế quản nặng – đặc biệt nguy hiểm với trẻ sơ sinh và trẻ dưới 2 tuổi.
Sốt xuất huyết là bệnh truyền nhiễm cấp tính do virus Dengue gây ra, lây truyền qua muỗi vằn Aedes aegypti. Bệnh có thể gặp ở mọi lứa tuổi và diễn biến rất khó lường, đặc biệt trong những ngày giao mùa – thời điểm muỗi phát triển mạnh.
Trẻ em có hệ miễn dịch còn non nớt, các cơ quan trong cơ thể chưa phát triển hoàn chỉnh như người lớn. Khi thời tiết thay đổi đột ngột, độ ẩm tăng cao, môi trường ô nhiễm và nhiều vi sinh vật gây bệnh sinh sôi mạnh mẽ, trẻ nhỏ trở thành đối tượng dễ bị tấn công nhất.
Khi thời tiết chuyển lạnh đột ngột, cơ thể cần thời gian để thích nghi với sự thay đổi nhiệt độ và độ ẩm. Không khí lạnh làm hệ miễn dịch suy giảm, mạch máu co lại và đường hô hấp trở nên nhạy cảm hơn. Đây chính là lý do nhiều bệnh lý về hô hấp, tim mạch, xương khớp hay rối loạn điều hòa thân nhiệt dễ bùng phát trong những ngày rét sâu.
Mùa đông với thời tiết lạnh, độ ẩm thấp và những đợt gió mùa liên tiếp làm cho cơ thể dễ bị suy giảm miễn dịch. Đây cũng là thời điểm virus và vi khuẩn phát triển mạnh, dẫn đến nhiều bệnh lý bùng phát. Nhận biết sớm các bệnh thường gặp trong mùa lạnh và áp dụng biện pháp chăm sóc đúng cách sẽ giúp bạn bảo vệ sức khỏe hiệu quả hơn.
Xét nghiệm tổng quát định kỳ là tập hợp các xét nghiệm và thăm khám y khoa nhằm đánh giá toàn diện tình trạng sức khỏe của cơ thể tại một thời điểm nhất định. Thông qua các chỉ số sinh hóa, huyết học, nước tiểu, chức năng gan - thận - tim mạch,... bác sĩ có thể phát hiện sớm những bất thường và nguy cơ bệnh lý tiềm ẩn.
Đau nhức xương khớp là tình trạng thường gặp mỗi khi thời tiết chuyển lạnh, đặc biệt ở người trung niên và người cao tuổi. Không chỉ gây khó chịu, đau xương khớp kéo dài còn ảnh hưởng trực tiếp đến khả năng vận động, sinh hoạt hằng ngày và chất lượng cuộc sống.
Ho có đờm vàng là triệu chứng thường gặp ở nhiều người, đặc biệt trong giai đoạn giao mùa hoặc khi thời tiết thay đổi đột ngột.
Đái tháo đường (tiểu đường) là bệnh lý mạn tính có diễn tiến âm thầm, ít biểu hiện rõ ràng trong giai đoạn đầu nhưng lại tiềm ẩn nhiều biến chứng nguy hiểm nếu không được kiểm soát tốt. Khi đường huyết tăng cao kéo dài, người bệnh có nguy cơ tổn thương tim mạch, thận, mắt, thần kinh và nhiều cơ quan khác, ảnh hưởng nghiêm trọng đến chất lượng cuộc sống.
Mùa lạnh không chỉ gây cảm cúm, viêm đường hô hấp mà còn là giai đoạn huyết áp dễ tăng cao và dao động thất thường, đặc biệt ở người cao tuổi và người mắc bệnh tim mạch. Trên thực tế lâm sàng, số ca nhập viện do biến chứng tăng huyết áp, đột quỵ và nhồi máu cơ tim thường gia tăng rõ rệt vào những tháng thời tiết lạnh.
Hòa chung không khí tri ân Ngày Thầy thuốc Việt Nam, tối ngày 27/2/2026, Hệ thống Bệnh viện TTH Hospital đã long trọng tổ chức chương trình Gala kỷ niệm Ngày Thầy thuốc Việt Nam 27/2 và Gặp mặt đầu xuân tại cả 3 khu vực Nghệ An, Hà Tĩnh, Quảng Bình.
Trong 3 tháng đầu năm 2026, hệ thống các bệnh viện trực thuộc TTH Group tiếp tục duy trì hoạt động ổn định, từng bước nâng cao chất lượng chuyên môn và dịch vụ, ghi nhận nhiều kết quả tích cực trên nhiều phương diện.
Khi thời tiết bước vào giai đoạn giao mùa, đặc biệt là thời điểm nắng nóng xen kẽ mưa ẩm, các bệnh truyền nhiễm ở trẻ nhỏ có xu hướng gia tăng nhanh chóng. Trong đó, tay chân miệng là một trong những bệnh phổ biến và tiềm ẩn nhiều nguy cơ, có thể bùng phát thành dịch nếu không được kiểm soát kịp thời.
Hội chứng rối loạn sinh tủy (MDS) là gì
Hội chứng rối loạn sinh tủy (MDS) là một bệnh lý ảnh hưởng đến tủy xương, nơi mà tế bào bị ảnh hưởng trong quá trình hình thành hồng cầu, bạch cầu và tiểu cầu. Trước đây hội chứng rối loạn sinh tủy được xem là một tình trạng tiền ung thư, tuy nhiên bây giờ các bác sĩ đã biết thêm về MDS, nó được coi là một dạng ung thư.
Triệu chứng hội chứng rối loạn sinh tủy (MDS)
MDS thường gặp ở những người trung niên và người cao tuổi, và có thể gây ra nhiều triệu chứng khác nhau.
Mệt mỏi: Người bệnh có thể cảm thấy mệt mỏi và yếu đuối một cách không rõ ràng.
Dễ bầm tím và chảy máu: MDS có thể gây ra sự suy giảm của các tế bào máu, đặc biệt là tiểu cầu và hồng cầu, dẫn đến dễ bầm tím và chảy máu.
Nhiễm trùng dễ tái phát: Vì tế bào bạch cầu có thể bị ảnh hưởng, người bệnh MDS có thể trở nên dễ nhiễm trùng.
Rối loạn chức năng tủy xương: MDS có thể dẫn đến sự suy giảm chức năng của tủy xương, làm giảm khả năng sản xuất tế bào máu.
Triệu chứng khác: Các triệu chứng khác có thể bao gồm suy giảm khả năng hấp thụ dưỡng chất, tăng kích thước của các cơ quan nội tạng, và da sáng màu do thiếu máu.
Mỗi người có thể trải qua các triệu chứng khác nhau tùy thuộc vào mức độ và loại MDS mà họ gặp phải. Nếu bạn hoặc ai đó gần gũi của bạn có bất kỳ triệu chứng nào tương tự, hãy tham khảo ý kiến của bác sĩ để đánh giá và điều trị kịp thời.
Nguyên nhân gây Hội chứng rối loạn sinh tủy (MDS)
Tác động của môi trường: Một số tác nhân môi trường nhất định, chẳng hạn như hóa chất độc hại, phóng xạ, và một số loại thuốc cũng có thể đóng vai trò trong việc gây ra MDS.
Yếu tố di truyền
Mặc dù không phải tất cả các trường hợp MDS đều di truyền, nhưng một số trường hợp có thể có yếu tố di truyền đóng vai trò trong sự phát triển của bệnh.
Tuổi tác
MDS thường xuất hiện ở người cao tuổi, và tuổi tác được xem là một yếu tố tăng nguy cơ mắc bệnh.
Tác động của các tác nhân hóa học
Một số hóa chất, chẳng hạn như thuốc trị ung thư hay thuốc trừ sâu, có thể gây ra sự tổn thương cho tế bào tủy xương, góp phần vào việc phát triển MDS.
Các biến chứng của hội chứng rối loạn sinh tủy (MDS)
Hội chứng rối loạn sinh tủy (MDS) có thể gây ra một số biến chứng và vấn đề sức khỏe nghiêm trọng. Các biến chứng của MDS có thể bao gồm:
Bệnh bạch cầu bất thường (AML)
MDS có thể tiến triển thành AML, một loại ung thư máu nghiêm trọng hơn.
Thiếu máu
Sự suy giảm sản xuất tế bào máu có thể dẫn đến các tình trạng thiếu máu như thiếu máu hồng cầu (anemia), thiếu máu tiểu cầu (thrombocytopenia) và thiếu máu bạch cầu (neutropenia).
Nhiễm trùng
Do suy giảm chức năng của hệ thống miễn dịch, người bệnh MDS có nguy cơ cao hơn bị nhiễm trùng và các vấn đề liên quan đến miễn dịch.
Các vấn đề về tim mạch
Một số người bệnh MDS có thể gặp phải các vấn đề về tim mạch do thiếu máu, bao gồm suy tim, vành và nhồi máu cơ tim.
Vấn đề về tiêu hóa
MDS có thể gây ra các vấn đề tiêu hóa như suy giảm hấp thụ dưỡng chất, gây ra vấn đề về dinh dưỡng và giảm cân.
Các vấn đề về tâm lý
Do tác động của bệnh và điều trị, người bệnh MDS có thể trải qua tình trạng tâm lý không ổn định, lo lắng, hoặc trầm cảm.
Các biến chứng khác
Bao gồm suy thận, suy gan, và tăng kích thước của các cơ quan nội tạng khác do tăng cường sản xuất tế bào máu trong tủy xương.
Phương pháp điều trị của hội chứng rối loạn sinh tủy
Phương pháp điều trị của hội chứng rối loạn sinh tủy (MDS) thường được thiết kế dựa trên mức độ nghiêm trọng của bệnh, tổng hợp tình trạng sức khỏe chung của bệnh nhân và yếu tố cá nhân cụ thể. Dưới đây là một số phương pháp điều trị thường được sử dụng:
Truyền máu đỏ và tiểu cầu
Nếu MDS gây ra thiếu máu, truyền máu đỏ hoặc truyền tiểu cầu có thể được thực hiện để cải thiện các triệu chứng liên quan đến thiếu máu.
Thuốc kích thích tạo máu
Một số loại thuốc có thể được sử dụng để kích thích sự sản xuất tế bào máu trong tủy xương, giúp cải thiện các triệu chứng của MDS.
Hóa trị
Một số loại hóa trị có thể được sử dụng để ngăn chặn sự phát triển của tế bào ung thư, giúp kiểm soát sự tiến triển của MDS.
Cấy tủy xương
Trong trường hợp nặng, cấy tủy xương có thể được thực hiện để thay thế tủy xương bất thường bằng tủy xương khỏe mạnh, giúp cải thiện chức năng tủy xương.
Chăm sóc hỗ trợ
Chăm sóc hỗ trợ bao gồm việc quản lý triệu chứng, hỗ trợ tinh thần, chăm sóc dinh dưỡng và quản lý các vấn đề sức khỏe khác liên quan đến MDS.
Chẩn đoán hội chứng rối loạn sinh tủy
Chẩn đoán hội chứng rối loạn sinh tủy (MDS) thường bao gồm một loạt các bước chẩn đoán và kiểm tra để xác định hiện diện của bệnh. Dưới đây là một số phương pháp chẩn đoán phổ biến:
Xét nghiệm máu và tủy xương
Xét nghiệm máu được sử dụng để phát hiện sự thay đổi trong các tế bào máu, bao gồm số lượng, hình dạng và kích thước của chúng. Xét nghiệm tủy xương cung cấp thông tin chi tiết hơn về tình trạng của tủy xương và sản xuất tế bào máu.
Xét nghiệm di truyền
Xét nghiệm di truyền có thể được sử dụng để phát hiện các đột biến di truyền liên quan đến MDS.
Sinh thiết tủy xương
Một mẫu tủy xương có thể được lấy ra thông qua một thủ thuật nhỏ để kiểm tra chính xác tình trạng của tủy xương và xác định sự hiện diện của bất thường tế bào.
Các xét nghiệm hình ảnh
Các xét nghiệm hình ảnh như siêu âm, CT scan, hoặc MRI có thể được sử dụng để đánh giá kích thước và cấu trúc của các cơ quan nội tạng và xác định có sự tổn thương hay không.
Đánh giá lâm sàng
Bác sĩ cũng sẽ đánh giá các triệu chứng và dấu hiệu lâm sàng của bệnh nhân, bao gồm mệt mỏi, dễ bầm tím, và triệu chứng liên quan đến suy giảm chức năng tủy xương.
Kết hợp các phương pháp này có thể giúp bác sĩ xác định chẩn đoán chính xác và đề xuất kế hoạch điều trị phù hợp.