Nội tiết - Chuyển hóa
Cơ xương khớp – Cột sống
Tim mạch
Tiêu hóa – Gan mật
Thần kinh – sọ não
Hô hấp
Tiết niệu – sinh dục
Ung bướu
Huyết học
Dinh dưỡng
Chấn thương chỉnh hình
Sản phụ khoa
Hỗ trợ sinh sản
Nhi khoa
Tai mũi họng
Răng hàm mặt
Mắt
Da liễu
Y học cổ truyền
Phục hồi chức năng
Thực quản - Dạ dày
Đường ruột
Trực tràng - Hậu môn
Gan - Mật - Tủy
Truyền nhiễm
Lao
Tràn dịch khớp gối là tình trạng gia tăng lượng dịch bất thường trong khớp gối sau chấn thương hoặc các nguyên nhân bất thường trong khớp làm hạn chế vận động khớp gối.
Gai cột sống, còn được gọi là "Gai thoát vị đĩa đệm", là một vấn đề liên quan đến cột sống.
Thoái hóa khớp, còn được gọi là viêm khớp dạng thoái hóa hoặc bệnh thoái hóa khớp, là một tình trạng liên quan đến sự suy giảm và hủy hoại của mô dẫn xuất từ xương khớp (gồm sụn, xương và mô mềm xung quanh) trong khớp.
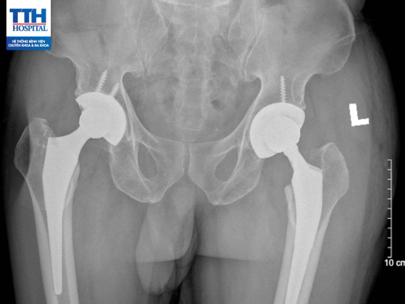
Thoái hóa khớp háng là tình trạng bệnh lý thường gặp khi khớp háng mất dần tính linh hoạt và trở nên tổn thương do quá trình thoái hóa.
Thay khớp háng nhân tạo (artificial hip replacement) là một phẫu thuật chỉnh hình (orthopedic) thường được thực hiện để điều trị các vấn đề về khớp háng bị tổn thương hoặc thoái hóa nghiêm trọng.
Bệnh gút là một loại bệnh chuyên biệt gây ra bởi tăng hàm lượng axit uric trong cơ thể, một dạng của acid uric. Acid uric là một sản phẩm phụ của quá trình chuyển hóa purine, một hợp chất tự nhiên có trong thực phẩm và cơ thể.
Bong gân là một tình trạng chấn thương thường gặp ở cơ và các khớp trong cơ thể. Bong gân xảy ra khi cơ hoặc các dây chằng bị căng hoặc bị rách do áp lực, chấn thương, hoặc sự căng mạnh đột ngột ở cơ.
Viêm đa cơ là một bệnh lý viêm nhiễm ở cơ. Viêm đa cơ thường gây đau, sưng và gây khó khăn trong việc vận động đứng lên ngồi xuống, di chuyển.
Gãy xương là tình trạng chấn thương nghiêm trọng và cần được chăm sóc đúng cách, xử lý kịp thời.
Cơ xương khớp là một hệ thống phức tạp bao gồm xương, cơ bắp, và các khớp, và khi gặp vấn đề, có thể gây ra nhiều loại bệnh khác nhau. Dưới đây là một số loại bệnh phổ biến, cùng với các triệu chứng và biểu hiện của chúng, cùng với cách điều trị phù hợp.
Tràn dịch khớp gối là một bệnh tương đối nguy hiểm nếu không được phát hiện điều trị kịp thời sẽ dẫn đến biến chứng giảm chức năng vận động khớp, nếu bị nhiễm khuẩn có thể dẫn đến phá hủy khớp gây ảnh hưởng nghiêm trọng đến toàn thân người bệnh.
Việc nhận biết tràn dịch khớp gối sớm sẽ giúp quá trình điều trị được rút ngắn và đem lại hiệu quả cao hơn. Vậy tràn dịch khớp gối là gì? Nguyên nhân do đâu, có những triệu chứng nào để nhận biết và cách điều trị ra sao mời bạn cùng tìm hiểu qua bài viết dưới đây nhé.
Đau cổ vai gáy là nỗi phiền toái đối với nhiều người khi ảnh hưởng rất lớn để khả năng vận động, tâm lý và sinh hoạt hàng ngày. Tình trạng này xảy ra rất phổ biến, xuất phát từ nhiều nhóm nguyên nhân khác nhau, trong nhiều trường hợp có thể cảnh báo các dấu hiệu bệnh lý nghiêm trọng. Do đó, việc theo dõi, chẩn đoán và điều trị kịp thời là thực sự cần thiết.
Đau thần kinh tọa là hội chứng thần kinh đau dọc theo dây thần kinh tọa và các nhánh. Căn nguyên của bệnh thường là do thoát vị đĩa đệm. Cơn đau có thể diễn ra âm ỉ hay cấp tính và tăng dần khi người bệnh gắng sức, thay đổi tư thế hoặc ho, hắt hơi.
Thoát vị đĩa đệm là bệnh lý phổ biến xảy ra khi nhân nhầy của đĩa đệm cột sống chệch ra khỏi vị trí bình thường. Nhiều người nghĩ rằng bệnh thoát vị đĩa đệm chỉ gặp phải khi lớn tuổi, xảy ra do quá trình lão hóa tự nhiên. Tuy nhiên thời gian gần đây, tỷ lệ người trẻ tuổi mắc thoát vị đĩa đệm ngày càng gia tăng. Tình trạng thoái hóa đĩa đệm, rách hoặc nứt gây chèn ép dây thần kinh, dẫn đến cơn đau khó chịu, gây cản trở khả năng vận động. Hãy cùng tìm hiểu về bệnh thoát vị đĩa đệm và biết thêm về một số phương pháp điều trị bệnh nhé!
Thoái hóa khớp gối là một trong những dạng viêm khớp phổ biến nhất. Bệnh tiến triển qua nhiều giai đoạn, gây ảnh hưởng không nhỏ đến cuộc sống và sinh hoạt của người bệnh. Trước đây, bệnh thường tấn công người già, nhưng nhịp sống bận rộn cùng lối sống kém khoa học ngày nay khiến bệnh có xu hướng ngày càng trẻ hóa.
Thoát vị đĩa đệm cột sống thắt lưng là một trong những căn bệnh xương khớp phổ biến nhất hiện nay. Bệnh dần trở thành nỗi ám ảnh của nhiều người, đặc biệt đối tượng thường xuyên lao động nặng hoặc nhân viên văn phòng. Tình trạng này gây nên những cơn đau dữ dội, khó khăn khi vận động và dễ dẫn đến nguy cơ tàn phế nếu không điều trị kịp thời.
Tràn dịch khớp gối là bệnh gì
Tràn dịch khớp gối là tình trạng gia tăng lượng dịch bất thường trong khớp gối sau chấn thương hoặc các nguyên nhân bất thường trong khớp làm hạn chế vận động khớp gối. Mặc dù không phải là một bệnh khó chữa nhưng nếu không được chẩn đoán và điều trị sớm có thể dẫn tới các biến chứng nguy hiểm.
Dấu hiệu tràn dịch khớp
Dấu hiệu cơ bản nhất để phát hiện tràn dịch khớp gối là tình trạng khớp gối nổi mẩn đỏ kèm sưng và phù nề, khi so sánh 2 bên khớp gối có thể nhận ra sự lớn hơn bất thường của bên tràn dịch do bao khớp dày lên. Bệnh nhân thường sẽ có cảm giác nặng nề bên khớp tổn thương và rất hạn chế vận động khi đi lại hoặc khó gấp duỗi. Theo thời gian nếu không được can thiệp thì các cơ xung quanh sẽ yếu dần khiến khớp ngày càng không vững cùng với cơn đau dai dẳng.
Nguyên nhân gây tràn dịch khớp gối
Một số nguyên nhân thường gặp của tràn dịch khớp gối gồm có:
Các yếu tố nguy cơ:
Xem thêm: "Biến chứng nguy hiểm bệnh tiểu đường ở người già"
Cách điều trị tràn dịch khớp gối
Việc lựa chọn phương pháp điều trị tràn dịch khớp gối phụ thuộc vào nguyên nhân, mức độ và giai đoạn của bệnh nhưng thường có các phương pháp phổ biến sau:
Điều trị bằng thuốc
Bao gồm thuốc giảm đau, chống viêm, thuốc kháng sinh khi có nguy cơ bị nhiễm khuẩn, thuốc ức chế miễn dịch khi bị viêm khớp dạng thấp. Tuy nhiên, quá trình sử dụng thuốc cần được theo dõi nghiêm ngặt bởi bác sĩ điều trị, đặc biệt là đối với thuốc có tác dụng phụ như corticoid.
Điều trị xâm lấn
Việc lượng dịch tồn đọng trong khớp không chỉ hạn chế vận động mà còn làm bệnh nhân đau đớn và khó chịu, vì vậy việc chọc hút sẽ giúp giảm nhẹ các triệu chứng cho bệnh nhân. Chọc hút có thể kết hợp với cả tiêm corticoid để điều trị. Ngoài ra, nội soi khớp giúp chẩn đoán và điều trị các tổn thương như viêm màng hoạt dịch, sụn, dây chằng hoặc thoái hóa khớp. Cuối cùng khi tổn thương thoái hóa khớp quá nặng bệnh nhân cần được phẫu thuật để điều trị.
Tự chăm sóc khi bị tràn dịch khớp gối
Bệnh nhân cần được nghỉ ngơi, tránh đi lại nhiều nhằm giảm thiểu trọng tải mà khớp gối phải chịu đựng, chườm đá và kê cao chân sẽ giúp tuần hoàn phía chi dưới được thuận lợi và giảm sưng nề.
Bị tràn dịch khớp gối nên ăn gì
Bị tràn dịch khớp gối kiêng ăn gì
Ngoài những thực phẩm nên ăn để kiểm soát hiện tượng tràn dịch khớp gối, bệnh nhân cũng nên lưu ý kiêng ăn một số thực phẩm có thể làm tình trạng sưng và viêm nặng hơn. Cụ thể như:
· Đồ cay nóng như ớt tiêu, măng, cá ngừ, thịt bò… có thể làm tăng tiết dịch gây đau nhức.
· Đồ ăn chiên rán không tốt xương khớp, tăng nguy cơ viêm nhiễm.
· Đồ nếp như xôi, ngô, khoai khiến tình trạng viêm sưng nặng hơn, từ đó càng kéo dài thời gian điều trị.
· Nội tạng động vật và đồ ăn nhiều muối làm giảm khả năng hấp thụ canxi của cơ thể, cùng lúc càng làm trầm trọng thêm các cơn đau nhức.
· Thực phẩm chế biến sẵn và bơ làm tăng lượng lipid và gây viêm sưng.
· Rượu bia và chất kích thích làm tăng lượng dịch tụ khớp gối.