Nội tiết - Chuyển hóa
Cơ xương khớp – Cột sống
Tim mạch
Tiêu hóa – Gan mật
Thần kinh – sọ não
Hô hấp
Tiết niệu – sinh dục
Ung bướu
Huyết học
Dinh dưỡng
Chấn thương chỉnh hình
Sản phụ khoa
Hỗ trợ sinh sản
Nhi khoa
Tai mũi họng
Răng hàm mặt
Mắt
Da liễu
Y học cổ truyền
Phục hồi chức năng
Thực quản - Dạ dày
Đường ruột
Trực tràng - Hậu môn
Gan - Mật - Tủy
Truyền nhiễm
Lao
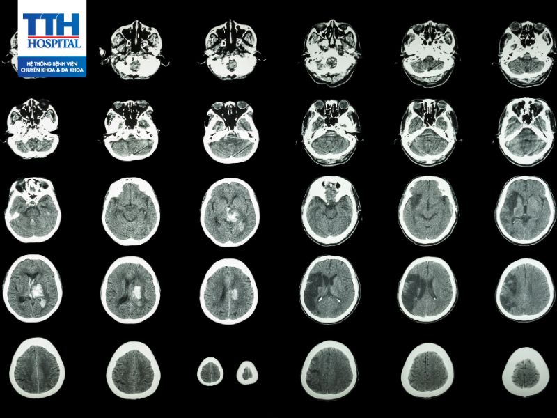
Tai biến mạch máu não luôn là một thách thức đối với nền Y Học. Theo thống kê của tổ chức Y tế thế giới WHO, tỷ lệ tử vong do tai biến mạch máu não đang đứng thứ ba sau bệnh ung thư và tim mạch.
Động kinh, còn được gọi là chứng co giật, là một loại rối loạn tác động lên hệ thần kinh gây ra các cơn tăng cường hoặc không kiểm soát được của hoạt động điện tử trong não, dẫn đến các triệu chứng như co giật cơ bắp và thay đổi tâm trạng hoặc suy nghĩ.
Đau dây thần kinh tọa thường xuất hiện khi có vấn đề về đĩa đệm đệm, sự trượt của đĩa đệm, sưng viêm cơ bắp, xương gai, hoặc áp lực lên thần kinh tọa do các vấn đề về cột sống.
Bệnh Parkinson thường phát triển qua nhiều giai đoạn, ảnh hưởng đến hệ thống thần kinh, đặc biệt là đến khả năng kiểm soát chuyển động của cơ bắp.
"Tê bì chân tay" là một cảm giác bất thường mà người ta mô tả khi có cảm giác như chân hoặc tay của họ đang "tê bì".
Người bệnh có thể trải qua mất cảm giác hoặc giảm cảm giác ở một hoặc nhiều phần của cơ thể, thường là ở một bên.
Liệt dây thần kinh số 6, hay còn gọi là liệt thần kinh tọa, thường là kết quả của tổn thương hoặc áp lực đối với dây thần kinh số 6.
Viêm màng não ở trẻ em được coi là một trong những căn bệnh có mức độ nguy hiểm lớn bởi tỷ lệ tử vong cao cũng như những di chứng mà chúng để lại rất nặng nề, chẳng hạn: nhiễm trùng máu, khiến hệ thần kinh, não bộ tổn thương vĩnh viễn,... Bởi vậy, nhận biết nguyên nhân, triệu chứng, điều trị và phòng ngừa là điều phụ huynh cần quan tâm.
Tăng huyết áp là yếu tố nguy cơ của bệnh tim mạch, đột quỵ và tử vong sớm. Hầu hết các trường hợp tăng huyết áp không có triệu chứng và chỉ được phát hiện tình cờ qua đo huyết áp tại nhà hay khám sức khỏe tổng quát định kỳ. Phát hiện, kiểm soát sớm, cũng như hiểu rõ về bệnh tăng huyết áp là rất quan trọng đối với sức khỏe của mỗi người.
Giấc ngủ với sức khỏe thể chất và tinh thần của con người đều có vai trò vô cùng quan trọng. Bạn có thể bị khó ngủ, mất ngủ tạm thời do nguyên nhân nào đó, tuy nhiên nếu tình trạng này kéo dài ảnh hưởng đến sức khỏe thì rất có thể bạn đã gặp phải chứng rối loạn giấc ngủ. Vậy nguyên nhân gây ra rối loạn giấc ngủ là gì, biện pháp nào để điều trị rối loạn giấc ngủ? Hãy cùng TTH Hospital tìm hiểu qua bài viết dưới đây.
Bệnh Alzheimer là nguyên nhân hàng đầu gây nên tình trạng sa sút trí tuệ, ảnh hưởng đến suy nghĩ và hành vi của con người. Không có cách nào để đảo ngược quá trình tiến triển bệnh, nhưng việc phát hiện và điều trị sớm có thể giúp nâng cao chất lượng cuộc sống cho người bệnh.
Tai biến mạch máu não hay còn gọi là đột quỵ được xem là một trong những bệnh lý nguy hiểm nhất, nguy cơ tử vong cao nếu không sớm nhận biết triệu chứng tai biến và can thiệp kịp thời.
Động kinh là một bệnh lý thần kinh nguy hiểm khiến bệnh nhân có các rối loạn về hành vi và ý thức. Bệnh nếu không được điều trị sẽ dẫn đến nhiều biến chứng nguy hiểm thậm chí tử vong. Vậy bệnh động kinh là gì? Hãy cùng tìm hiểu trong bài viết này nhé!
Giấc ngủ đóng vai trò quan trọng trong đời sống của mỗi con người, giúp con người được nghỉ ngơi sau những khoảng thời gian làm việc và học tập. Bệnh mất ngủ nếu diễn ra thường xuyên phản sẽ ảnh hưởng lớn tới sức khỏe, khiến cơ thể mệt mỏi, lừ đừ, không đủ năng lượng để hoạt động ban ngày. Vậy mất ngủ là gì? Nguyên nhân, dấu hiệu và các biện pháp trị mất ngủ là gì? Cùng TTH Hospital tìm hiểu qua bài viết dưới đây.
Mất ngủ là một trong những vấn đề phổ biến hiện nay, ảnh hưởng trực tiếp đến chất lượng cuộc sống và sức khỏe của người bệnh. Việc không có giấc ngủ đủ sâu và ngon giấc có thể dẫn đến nhiều hệ quả nghiêm trọng, từ giảm hiệu suất làm việc, suy giảm trí nhớ cho đến ảnh hưởng tiêu cực đến hệ miễn dịch và sức khỏe tinh thần. Với sự phát triển trong lĩnh vực y học, hiện nay tại Nghệ An đã có nhiều phương pháp và dịch vụ chuyên sâu để điều trị hiệu quả tình trạng mất ngủ.
Tai biến mạch máu não luôn là một thách thức đối với nền Y Học. Theo thống kê của tổ chức Y tế thế giới WHO, tỷ lệ tử vong do tai biến mạch máu não đang đứng thứ ba sau bệnh ung thư và tim mạch.
Tai biến mạch máu não là gì?
Tai biến mạch máu não còn được gọi là cerebrovascular accident (CVA) hoặc stroke, là tình trạng mạch máu cung cấp dưỡng chất và oxy tới một phần của não bị gián đoạn hoặc bị chặn hoàn toàn. Điều này có thể xảy ra do một quá trình gọi là động mạch bị tắc nghẽn (ischemic stroke) hoặc do sự vỡ nứt của mạch máu trong não (hemorrhagic stroke).
- Đột quỵ cấp tính (Ischemic stroke)
Đây là loại phổ biến nhất của tai biến mạch máu não. Nó xảy ra khi một động mạch tới não bị tắc nghẽn bởi mảng bám, cục máu đông, hoặc tắc nghẽn do các tác nhân khác. Khi mạch máu bị tắc, không có oxy và dưỡng chất được cung cấp cho khu vực não bị ảnh hưởng, dẫn đến tổn thương não.
- Tai biến mạch máu não xuất huyết (Hemorrhagic stroke)
Loại này xảy ra khi một mạch máu trong não vỡ nứt, dẫn đến sự chảy máu vào mô não. Điều này gây áp lực lên các mô và tế bào xung quanh, gây ra thiệt hại vùng não và gây ra các triệu chứng như đau đầu cực mạnh.
Các giai đoạn tai biến mạch máu não
Tai biến mạch máu não thông thường được chia thành ba giai đoạn chính để mô tả sự tiến triển và diễn biến của tình trạng này. Các giai đoạn này giúp cung cấp thông tin về cách triệu chứng và tình trạng bệnh có thể thay đổi theo thời gian, từ khi bệnh xảy ra cho đến khi đạt đến tình trạng ổn định hoặc tái phát. Dưới đây là các giai đoạn chính của tai biến mạch máu não:
Giai đoạn cấp tính (Acute phase):
Trong giai đoạn này, tai biến mạch máu não xảy ra hoặc mới xảy ra. Triệu chứng thường xuất hiện đột ngột và thường là nặng nề. Một số triệu chứng cổ điển của giai đoạn này bao gồm mất khả năng di chuyển một bên cơ thể, mất cân bằng, mất khả năng nói hoặc hiểu ngôn ngữ, và đau đầu cực mạnh. Đây là giai đoạn khẩn cấp và yêu cầu chăm sóc y tế ngay lập tức để cố gắng cứu sống người bệnh và giảm thiểu thiệt hại não bộ.
Giai đoạn phục hồi (Recovery phase):
Sau khi qua giai đoạn cấp tính và đã nhận được điều trị y tế, người bệnh bắt đầu hồi phục. Giai đoạn này có thể kéo dài từ vài tuần đến vài tháng, thậm chí nhiều năm. Trong giai đoạn này, người bệnh có thể trải qua quá trình phục hồi từ những triệu chứng ban đầu. Sự phục hồi có thể biến đổi tùy thuộc vào mức độ tổn thương não và khả năng tái thiết mạch máu.
Giai đoạn ổn định và quản lý (Stable and management phase):
Sau khi qua giai đoạn phục hồi, người bệnh thường đạt được tình trạng ổn định hơn. Tùy thuộc vào mức độ tổn thương não, họ có thể hồi phục một phần hoặc hoàn toàn từ các triệu chứng tai biến mạch máu não ban đầu. Trong giai đoạn này, quản lý và chăm sóc y tế định kỳ đóng vai trò quan trọng để theo dõi tình trạng sức khỏe, kiểm tra nguy cơ tái phát, và điều chỉnh liệu pháp điều trị và lối sống.
Nguyên nhân tai biến mạch mạch máu não
Tai biến mạch máu não có thể xuất phát từ nhiều nguyên nhân khác nhau, nhưng chủ yếu chúng liên quan đến sự gián đoạn hoặc suy yếu trong cung cấp máu và dưỡng chất đến não. Dưới đây là một số nguyên nhân chính:
Tắc nghẽn mạch máu (Ischemic stroke):
- Mảng bám mạch máu: Tắc nghẽn có thể xảy ra do mảng bám (plaque) tạo thành từ mỡ, canxi và các tạp chất trên thành mạch máu. Điều này gây hạn chế lưu thông máu và dẫn đến sự suy yếu hoặc tắc nghẽn hoàn toàn.
- Máu đông: Một cục máu đông có thể hình thành tại nơi khác trong cơ thể và sau đó di chuyển đến não, tắc nghẽn mạch máu.
- Tắc nghẽn do nguyên nhân khác: Các tác nhân khác như các khối u, bệnh tăng đông máu và các tình trạng y tế khác cũng có thể dẫn đến tắc nghẽn mạch máu.
Vỡ nứt mạch máu (Hemorrhagic stroke):
- Tăng áp lực trong mạch máu: Máu có thể chảy ra khỏi mạch máu khi có áp lực cao gây nứt vỡ, ví dụ như tăng huyết áp hoặc sự căng thẳng cực mạnh.
- Mạch máu yếu đuối: Một số người có mạch máu yếu đuối hoặc bị mất tích tính đàn hồi, dễ dàng vỡ nứt và gây ra xuất huyết.
- Các bất thường mạch máu: Các dịch vụ tăng đông máu không bình thường, bất thường về cấu trúc mạch máu, hoặc các vấn đề khác về hệ thống mạch máu có thể gây ra sự vỡ nứt.
- Yếu tố nguy cơ khác:
- Tăng huyết áp: Áp lực máu cao có thể gây ra hại lên mạch máu, làm tăng nguy cơ bị tắc nghẽn mạch máu hoặc vỡ nứt.
- Tiểu đường: Người mắc tiểu đường thường có nguy cơ cao hơn bị tắc nghẽn mạch máu.
- Hút thuốc lá: Hút thuốc lá tăng nguy cơ bị tắc nghẽn mạch máu bởi việc làm tăng áp lực máu và tạo mảng bám trong mạch máu.
- Tăng cholesterol: Mức cholesterol cao có thể dẫn đến tạo mảng bám trong mạch máu.
- Bệnh tim mạch: Các bệnh tim mạch như bệnh van tim, nhồi máu cơ tim cũng có thể tăng nguy cơ tai biến mạch máu não.
Triệu chứng tai biến mạch máu não
Triệu chứng của tai biến mạch máu não có thể thay đổi tùy thuộc vào vị trí và phạm vi tổn thương não, cũng như loại tai biến (ischemic hoặc hemorrhagic). Dưới đây là một số triệu chứng phổ biến của tai biến mạch máu não:
1. Triệu chứng của tai biến mạch máu não ischemic (đột quỵ cấp tính)
- Mất khả năng di chuyển một bên cơ thể hoặc một phần cơ thể (đặc biệt là mất khả năng đi lại, cầm nắm, hay đưa tay lên).
- Mất khả năng nói hoặc hiểu ngôn ngữ.
- Mất cân bằng, chói mắt, hoặc khó điều chỉnh tay chân.
- Đau đầu cực mạnh đột ngột.
- Mất khả năng nhìn hoặc thấy một bên mắt.
- Rối loạn thị giác, như thấy mờ, kép hình, mất trường nhìn một phần.
2. Triệu chứng của tai biến mạch máu não hemorrhagic (tai biến xuất huyết):
- Đau đầu cực mạnh, thường mắc phải một phía.
- Buồn nôn và nôn mửa.
- Mất cân bằng, chói mắt, hoặc khó điều chỉnh tay chân.
- Mất khả năng di chuyển một bên cơ thể hoặc một phần cơ thể.
- Mất khả năng nói hoặc hiểu ngôn ngữ.
- Sự mất cảm giác hoặc tê liệt ở một phần cơ thể.
Tuy nhiên không phải ai bị tai biến mạch máu não cũng sẽ xuất hiện các triệu chứng trên. Một số người có thể trải qua một hoặc một số triệu chứng khác nhau. Tùy theo vị trí và phạm vi tổn thương não, các triệu chứng cũng có thể thay đổi.
Cách xử lý khi phát hiện người thân bị tai biến mạch máu não
Khi bạn phát hiện người thân có triệu chứng của tai biến mạch máu não, hãy thực hiện các bước sau để cung cấp sự hỗ trợ khẩn cấp và đưa họ đến cơ sở y tế ngay lập tức:
· Gọi cấp cứu: Gọi điện thoại cấp cứu ngay lập tức (số 115 hoặc số điện thoại cấp cứu ở địa phương của bạn) để yêu cầu xe cứu thương đến nơi. Thời gian rất quan trọng trong việc đối phó với tai biến mạch máu não.
· Đừng để họ tự lái xe hoặc tự di chuyển: Nếu triệu chứng rõ ràng và nghiêm trọng, không nên để người thân tự mình lái xe hoặc tự di chuyển đến bệnh viện. Hãy đợi xe cứu thương đến và chờ nhân viên y tế đánh giá tình trạng.
· Giữ người thân thoải mái và yên tĩnh: Hãy giúp người thân thoải mái bằng cách giữ cho họ nằm nghiêng về một bên (nếu có thể) và duy trì sự yên tĩnh để giảm áp lực và lo âu.
· Ghi chú triệu chứng và thời gian xuất hiện: Nếu có thể, ghi chú lại các triệu chứng mà người thân đang gặp phải và thời gian chúng xuất hiện. Thông tin này có thể giúp cho việc chẩn đoán và điều trị hiệu quả.
· Không cho ăn, uống hoặc dùng thuốc: Trong trường hợp tai biến mạch máu não, việc cho người bệnh ăn uống hoặc dùng thuốc không an toàn. Hãy chờ đến khi bệnh nhân được bác sĩ hoặc các nhân viên y tế chuyên nghiệp hỗ trợ điều trị chẩn đoán và có chỉ định điều trị phù hợp.
· Giữ bình tĩnh và động viên: Trong khi chờ xe cứu thương đến, hãy giữ bình tĩnh và cố gắng động viên người thân. Sự hỗ trợ tinh thần từ bạn có thể giúp họ vượt qua tình huống khó khăn này.
· Cung cấp thông tin y tế: Khi nhân viên y tế đến, cung cấp thông tin y tế liên quan đến tình trạng sức khỏe và thuốc mà người thân đang sử dụng. Điều này có thể giúp trong quá trình chẩn đoán và quản lý.
Lưu ý, tai biến mạch máu não là một tình trạng cấp cứu nghiêm trọng. Việc đưa người thân đến bệnh viện để nhận được chăm sóc y tế chuyên nghiệp và kịp thời là rất quan trọng để giảm thiểu nguy cơ tử vong và tăng cơ hội phục hồi.
Đối tượng nguy cơ tai biến mạch máu não
Nguy cơ tai biến mạch máu não có thể tăng lên do nhiều yếu tố khác nhau. Dưới đây là một số đối tượng có nguy cơ cao:
- Tuổi cao: Người cao tuổi thường có nguy cơ cao hơn do sự tổn thương mạch máu và tăng nguy cơ tắc nghẽn mạch máu.
- Tiền sử gia đình: Nếu có người thân trong gia đình đã từng mắc tai biến mạch máu não, bạn có nguy cơ gia tăng.
- Tăng huyết áp: Áp lực máu cao có thể gây tổn thương mạch máu và dẫn đến tắc nghẽn hoặc vỡ nứt.
- Hút thuốc lá: Hút thuốc lá không chỉ gây hại cho hệ hô hấp mà còn làm tăng nguy cơ hình thành mảng bám trong mạch máu.
- Tiểu đường: Người mắc tiểu đường thường có nguy cơ tăng do hệ mạch máu bị tổn thương.
- Bệnh tim mạch: Bệnh van tim, nhồi máu cơ tim, nhồi máu mạch và các bệnh tim mạch khác có thể tăng nguy cơ tai biến mạch máu não.
- Bệnh tăng đông máu: Tình trạng tăng đông máu có thể làm tăng nguy cơ tắc nghẽn mạch máu.
- Tăng cholesterol: Mức cholesterol cao góp phần tạo mảng bám trong mạch máu.
- Béo phì: Béo phì có thể tăng nguy cơ tai biến mạch máu não và các vấn đề tim mạch khác.
- Sử dụng nhiều rượu: Việc sử dụng quá nhiều rượu có thể tăng nguy cơ tai biến mạch máu não.
- Sử dụng các chất gây tăng đông máu: Các loại thuốc gây tăng đông máu, chẳng hạn như aspirin và thuốc chống đông, cũng có thể tăng nguy cơ vỡ nứt mạch máu.
- Không duy trì lối sống lành mạnh: Sự thiếu vận động, ăn uống không lành mạnh, căng thẳng và không kiểm soát các yếu tố nguy cơ có thể tạo ra môi trường thuận lợi cho tai biến mạch máu não.
Di chứng tai biến mạch máu não
Tai biến mạch máu não có thể gây ra các di chứng lâu dài và ảnh hưởng đến chất lượng cuộc sống của người bệnh. Di chứng phụ thuộc vào mức độ tổn thương não, loại tai biến (ischemic hay hemorrhagic), vị trí tổn thương, thời gian cấp cứu, và khả năng phục hồi.
Tê liệt và suy giảm khả năng di chuyển
Một trong những di chứng thường gặp sau tai biến mạch máu không thể tránh khỏi là tê liệt hoặc suy giảm khả năng di chuyển. Người bệnh có thể mất khả năng đi, đứng, cầm nắm, hay thực hiện các hoạt động hàng ngày.
Rối loạn ngôn ngữ và giao tiếp
Tai biến mạch máu não có thể gây ra rối loạn ngôn ngữ, làm mất khả năng nói hoặc hiểu ngôn ngữ, làm cho việc giao tiếp trở nên khó khăn.
Vấn đề thị giác
Tai biến mạch máu não có thể làm ảnh hưởng đến khả năng nhìn, làm mờ tầm nhìn, gây mất khả năng nhìn một phía, hoặc tạo ra các vấn đề thị giác khác.
Rối loạn nói
Mất khả năng nói hoặc nói không rõ ràng có thể là một di chứng sau tai biến mạch máu não.
Rối loạn nhận thức và tư duy
Tai biến mạch máu não có thể gây ra rối loạn nhận thức, làm giảm khả năng tư duy, quyết định và thực hiện các nhiệm vụ thông thường.
Rối loạn cảm xúc và tâm trạng
Người bệnh có thể trải qua rối loạn tâm trạng như tăng cảm xúc khó kiểm soát, lo âu, trầm cảm hoặc căng thẳng.
Vấn đề về sức khỏe tâm thần
Tai biến mạch máu não có thể gây ra vấn đề về sức khỏe tâm thần, bao gồm tăng nguy cơ rối loạn tâm thần và trạng thái tâm thần không ổn định.
Khả năng tự phục hồi
Một số người có thể phục hồi hoàn toàn hoặc một phần sau tai biến mạch máu não, trong khi một số người khác có thể mang theo di chứng suốt đời.
Khả năng làm việc và tham gia xã hội
Di chứng của tai biến mạch máu không chỉ ảnh hưởng đến khả năng làm việc mà còn có thể làm giảm sự tham gia vào các hoạt động xã hội và cuộc sống hàng ngày.
Cách chăm sóc bệnh nhân tai biến mạch máu não
Chăm sóc bệnh nhân sau tai biến mạch máu não là một quá trình quan trọng để giúp họ phục hồi và cải thiện chất lượng cuộc sống
- Theo dõi y tế định kỳ: Điều quan trọng là đảm bảo bệnh nhân tham dự các cuộc kiểm tra y tế định kỳ để theo dõi tình trạng sức khỏe và điều chỉnh liệu pháp khi cần.
- Điều trị y tế đúng lúc: Tuân thủ kế hoạch điều trị y tế, bao gồm thuốc, phục hồi chức năng, và các biện pháp điều trị khác, giúp cải thiện khả năng phục hồi.
- Phục hồi chức năng: Dưới sự hướng dẫn của nhà điều dưỡng, người bệnh cần tham gia vào các chương trình phục hồi để cải thiện khả năng di chuyển, nói, và thực hiện các hoạt động hàng ngày.
- Dinh dưỡng cân đối: Đảm bảo bệnh nhân có một chế độ ăn uống cân đối và lành mạnh có thể ảnh hưởng đến việc phục hồi và tăng cường sức kháng.
- Hỗ trợ tinh thần: Tình trạng tinh thần ổn định quan trọng để cải thiện quá trình phục hồi. Hãy lắng nghe và động viên người bệnh.
- Giữ liên lạc với bác sĩ và chuyên gia y tế: Hỏi ý kiến và thảo luận với đội ngũ chuyên gia y tế để hiểu rõ hơn về tình trạng và kế hoạch điều trị.
- Cung cấp môi trường an toàn: Đảm bảo người bệnh sống trong môi trường an toàn để tránh nguy cơ vấp ngã hoặc tai nạn khác.
- Giúp đỡ với hoạt động hàng ngày: Hỗ trợ người bệnh trong việc thực hiện các hoạt động hàng ngày như tắm rửa, ăn uống, và mặc quần áo.
- Giúp người bệnh xây dựng kế hoạch tự quản lý: Học cách người bệnh tự quản lý tình trạng sức khỏe, dự phòng và điều trị tại nhà.
- Tạo môi trường thoải mái và tích cực: Khích lệ người bệnh tham gia vào hoạt động xã hội, giúp họ duy trì tinh thần lạc quan và tạo ra môi trường tích cực.