Nội tiết - Chuyển hóa
Cơ xương khớp – Cột sống
Tim mạch
Tiêu hóa – Gan mật
Thần kinh – sọ não
Hô hấp
Tiết niệu – sinh dục
Ung bướu
Huyết học
Dinh dưỡng
Chấn thương chỉnh hình
Sản phụ khoa
Hỗ trợ sinh sản
Nhi khoa
Tai mũi họng
Răng hàm mặt
Mắt
Da liễu
Y học cổ truyền
Phục hồi chức năng
Thực quản - Dạ dày
Đường ruột
Trực tràng - Hậu môn
Gan - Mật - Tủy
Truyền nhiễm
Lao
Lao hạch, hay còn gọi là bệnh Lao, là một trong những bệnh nhiễm trùng do vi khuẩn Mycobacterium tuberculosis gây ra.
Bệnh lao phổi (ho lao) là bệnh truyền nhiễm nguy hiểm, cướp đi sinh mạng của hơn 1,5 triệu người mỗi năm. Bệnh có khả năng lây lan trong cộng đồng nếu không được phát hiện và điều trị kịp thời.
Bệnh lao phổi (ho lao) là bệnh truyền nhiễm nguy hiểm, cướp đi sinh mạng của hơn 1,5 triệu người mỗi năm. Bệnh có khả năng lây lan trong cộng đồng nếu không được phát hiện và điều trị kịp thời.
1. Bệnh lao phổi là gì?
Bệnh lao phổi (tiếng Anh là Pulmonary Tuberculosis) là bệnh truyền nhiễm qua đường hô hấp, xảy ra khi vi khuẩn M.Tuberculosis tấn công chủ yếu vào phổi. Bệnh ho lao phổi dễ gây ra nhiều biến chứng nguy hiểm tới sức khỏe và tính mạng của bệnh nhân.
Trong điều kiện tự nhiên, vi khuẩn này có thể tồn tại từ 3 – 4 tháng. Trong phòng thí nghiệm, vi khuẩn lao có thể được bảo quản trong nhiều năm. Nếu ở dưới ánh nắng mặt trời vi khuẩn này sẽ chết trong vòng 1,5 giờ và sống được 5 phút khi bị chiếu tia cực tím.
Vi khuẩn Mycobacterium Tuberculosis là một vi khuẩn ái khí vì vậy vi khuẩn ưa cư trú trong môi trường có nhiều oxy, vì đặc tính này mà vi khuẩn lao thường khu trú ở phổi và số lượng vi khuẩn có nhiều nhất trong các hang lao có phế quản thông.
Bệnh lao phổi (tiếng Anh là Pulmonary Tuberculosis) là bệnh truyền nhiễm qua đường hô hấp
2. Nguyên nhân gây ra bệnh lao phổi
Bệnh ho lao là bệnh lây lan qua không khí, mầm bệnh không tồn tại trong tự nhiên và không có vật trung gian truyền bệnh. Nguồn lây bệnh chủ yếu là người hoặc động vật mắc vi khuẩn lao, bệnh dễ lây truyền khi người hoặc động vật nhiễm bệnh ho, hắt hơi tạo ra những hạt nước bọt rất nhỏ chứa nhiều vi khuẩn lao lơ lửng trong không khí. Người ta có thể hít những hạt này vào phổi và mắc bệnh.
Ngày nay, người ta chia bệnh học lao thành 2 giai đoạn:
- Giai đoạn lao nhiễm: Vi khuẩn lao xâm nhập lần đầu vào phổi gây sơ nhiễm, từ đó lan theo các đường bạch huyết, đường máu có thể làm tổn thương một số cơ quan khác.
- Giai đoạn lao bệnh: Đối với mọi lứa tuổi, khoảng 10% lao nhiễm sẽ chuyển sang lao bệnh và 80% số bệnh lao này sẽ xảy ra trong 2 năm đầu đời. 50% số bệnh lao là nguồn lây mới trong xã hội.
3. Dấu hiệu nhận biết bệnh lao phổi
Triệu chứng lao phổi giai đoạn đầu có thể khó nhận biết khiến người bệnh không phát hiện và điều trị sớm dẫn tới diễn tiến nặng nề hơn. Do đó để nhận biết triệu chứng bệnh lao phổi cần chú ý các biểu hiện sau:
- Ho trên 3 tuần không do viêm phổi, viêm phế quản, giãn phế quản hay ung thư phổi và không đáp ứng với kháng sinh thì cần nghĩ đến lao phổi;
- Khạc đờm không giảm sau khi dùng khác sinh ở người bệnh ho khạc trên 3 tuần;
- Ho ra máu: là triệu chứng gặp ở 60% bệnh nhân lao phổi, biểu hiện một tình trạng tổn thương và chảy máu trong đường hô hấp;
- Đau ngực, khó thở: là tình trạng dễ gặp nhất ở bệnh nhân mắc lao phổi, ho nhiều gây ức chế phế quản, gây khó thở, đau ngực và khó khăn trong trao đổi khí;
- Gầy, sụt cân cũng là biểu hiện thường gặp của bệnh nhân lao, bệnh nhân thường gầy, sụt cân không rõ nguyên nhân, không do tiêu chảy hay suy dinh dưỡng kèm với các triệu chứng hô hấp kể trên;
- Sốt cao, thất thường, sốt nhẹ hay gai lạnh về chiều nghĩ tới lao phổi khi phối hợp các triệu chứng ho, khạc đờm ra máu,...;
- Ra mồ hôi nhiều do rối loạn thần kinh thực vật cũng dễ thấy ở người mắc lao phổi;
- Chán ăn, mệt mỏi là dấu hiệu phổ biến nhưng không đặc hiệu, có thể theo dõi như một chỉ báo để tránh bỏ sót bệnh lao phổi.
Khi nghi ngờ mắc lao, người bệnh sẽ được cho thực hiện các phương pháp sau để chẩn đoán gồm có:
- Xét nghiệm Mantoux: là xét nghiệm tiêm dưới da một lượng nhỏ và an toàn tuberculin để xem người bệnh đã nhiễm vi trùng lao hay chưa;
- Xét nghiệm máu giúp diễn dịch kết quả của xét nghiệm đầu;
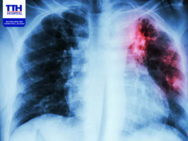
- Chụp X-quang phổi để nhận biết rõ các biểu hiện của bệnh lao thể hiện trên phim.
Triệu chứng lao phổi giai đoạn đầu có thể khó nhận biết khiến người bệnh không phát hiện
4. Phương pháp điều trị bệnh lao phổi
Nếu được phát hiện sớm và điều trị đúng phác đồ, phần lớn các bệnh nhân lao đều khỏi bệnh mà không chịu biến chứng. Hiện nay, phương pháp điều trị lao phổi phổ biến là dùng kết hợp kháng sinh tối thiểu 6 tháng. Tùy thuộc vào thể trạng và bệnh lý của bệnh nhân bác sĩ sẽ có từng phác đồ riêng với từng người.
Việc điều trị sớm sẽ giúp bệnh nhân mau chóng khỏi bệnh và chịu ít biến chứng, không chỉ vậy còn giảm bớt gánh nặng trong cộng động. Phương pháp điều trị lao theo quy chuẩn của bộ y tế bao gồm:
- Điều trị có kiểm soát trực tiếp (DOTS)
- Điều trị theo phác đồ chuẩn được Bộ Y tế quy định cho các trường hợp lao ở phổi mới được phát hiện.
Tuân thủ nguyên tắc:
- Uống thuốc đúng phác đồ
- Uống thuốc đủ thời gian
- Uống thuốc theo chỉ dẫn của bác sĩ, đều đặn tránh việc bỏ thuốc, gián đoạn trong điều trị
Những người bị lao phổi phải được đăng ký điều trị và theo dõi suốt quá trình điều trị. Hiện nay có rất nhiều đơn vị chống lao ở các tuyến huyện và tỉnh, người bệnh có thể đăng ký nơi điều trị gần với nơi mình cư trú. Việc điều trị có kiểm soát với phác đồ ngắn hạn cần được tổ chức chặt chẽ và người bệnh cần tuân thủ đúng phác đồ và hợp tác với bác sĩ để việc điều trị có kết quả tốt nhất.
Ngày nay, với hệ thống chống và điều trị lao phủ rộng trên toàn quốc, bệnh nhân lao được điều trị trong môi trường tốt nhất với các phác đồ hiệu quả. Trong 2 tháng đầu tiên, bệnh nhân được giám sát và điều trị với các cán bộ y tế. Sau đó, bệnh nhân sẽ được giám sát bởi người thân hoặc nhân viên y tế trong giai đoạn sau.
Phương pháp điều trị lao phổi phổ biến là dùng kết hợp kháng sinh tối thiểu 6 tháng
5. Các biện pháp phòng tránh lao phổi
Khi có các biểu hiện nghi ngờ lao giai đoạn sớm, người bệnh cần đến các cơ sở y tế chuyên khoa để khám và điều trị dứt điểm nhằm tránh lây lan cho gia đình và cộng đồng. Trong thời gian điều trị, người bệnh cần ăn uống hợp lý, đủ chất, nghỉ ngơi và không sử dụng các chất kích thích, bia rượu, thuốc lá vì sẽ làm giảm tác dụng điều trị và tăng tác dụng phụ của thuốc.
Để tránh lây cho người xung quanh người bệnh cần tránh tiếp xúc với người khác trong vài tuần đầu điều trị, đeo khẩu trang khi ra ngoài, sử dụng vải che miệng bất cứ khi nào cười, nói, ho hay hắt hơi, sau đó để miếng vải trong túi, buộc kín vứt thùng rác. Đặc biệt cần tuân thủ điều trị để sớm đạt được hiệu quả khỏi bệnh.
Cách phòng ngừa lao phổi tốt nhất là tiêm vắc-xin BCG ngừa lao, đồng thời thực hiện lối sống lành mạnh, vệ sinh và an toàn như sau:
- Sử dụng khẩu trang khi ra ngoài hoặc tiếp xúc với người bệnh lao phổi;
- Che miệng khi hắt hơi, rửa tay sạch sẽ thường xuyên;
- Không sử dụng chung đồ dùng cá nhân;
- Vệ sinh nơi ở, nơi làm việc sạch sẽ;
- Khám sức khỏe định kỳ;
- Không ngủ cùng phòng với người bệnh, nơi đông người.
Cần đến các cơ sở y tế chuyên khoa để khám và điều trị dứt điểm nhằm tránh lây lan
Tóm lại, bệnh lao rất nguy hiểm nếu không được phát hiện sớm để điều trị. Do đó, việc nhận biết sớm các triệu chứng lao phổi sẽ giúp kiểm soát bệnh một cách tốt hơn cũng như tránh lây lan cho cộng đồng.
Để đặt lịch khám tại viện, Quý khách vui lòng bấm số HOTLINE hoặc đặt lịch trực tiếp. Hy vọng bài viết đã cung cấp cho bạn các kiến thức về Lao phổi. Đây là bệnh lý nguy hiểm có thể dẫn tới tử vong hoặc các di chứng nặng nề cần phải tuân thủ phù hợp. Mọi thắc mắc bạn có thể liên hệ ngay với TTH Hospital để biết thêm thông tin về bệnh lý và sẽ được tư vấn cụ thể.